髋关节,是人体承托躯干、连接下肢的“生命枢纽”,而股骨头坏死却如同一把“隐形利刃”,悄然侵蚀着这一枢纽的稳定性。面对这一骨科领域公认的“难治之症”,佛山市三级骨科医院——顺德和平外科医院,以显微外科领域的精尖技术为“刃”,以数十年的临床积淀为“盾”,为无数患者破解了“保髋”与“置换”的难题。无论是早期通过微创手术保留自身关节,还是晚期精准实施髋关节置换,我们都以专业实力与人文关怀,成为了众多股骨头坏死患者心中的“康复灯塔”。

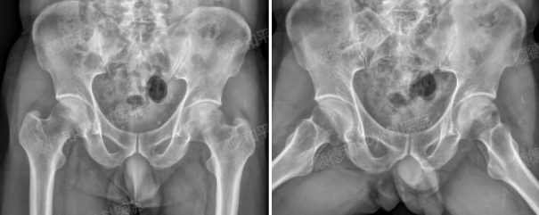
入院时骨盆正位片、蛙状位片
技术领先,保髋与置换并重
顺德和平外科医院以手外科、显微外科闻名广东乃至全国,尤其在复杂骨关节疾病的治疗上积累了丰富经验。对于股骨头坏死患者,我院坚持“能保髋不置换”的原则,针对不同分期制定个性化方案:
早期保髋治疗:通过植骨、PRP、带血管蒂骨瓣移植等技术,重建血运,延缓或避免关节置换。
晚期髋关节置换:对于严重塌陷或继发骨关节炎的患者,我院髋关节置换技术成熟,术后功能恢复优异。

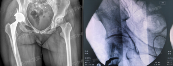
髋置换&保髋治疗
从运动员到普通患者,疗效赢得口碑
此前,国内著名羽毛球运动员、教练陈玉娘曾在我院骨科一区成功接受髋关节置换术,术后疗效显著,重返正常生活,得到了陈玉娘本人及家属的高度称赞,同时也为我院在股骨头坏死治疗方面的专业能力增添了有力佐证。

近期,一位49岁的男性患者因“左髋部疼痛不适2个月余”的困扰,慕名来到顺德和平外科医院手显微外科二区(骨髓炎专科)。患者回忆,大约2个月前,左侧髋部开始出现隐痛不适。起初,他并未太在意,然而随着时间推移,卧床翻身、起床改变体位以及行走时,左侧髋部的疼痛愈发明显,只有在平卧及休息时疼痛才有所缓解。虽然无双下肢麻木、胀痛等情况,但持续的疼痛严重影响了他的日常生活。此前,患者还曾就诊于当地医院,行X光片检查后提示双侧股骨头坏死。
为寻求更有效的治疗方案,患者多方打听,最终选择来到在“手外科和显微外科”专业领域闻名广东省乃至全国的顺德和平外科医院,期望通过“保髋”治疗重获健康。

精准诊断,早期干预:抓住保髋的“黄金窗口”
患者入院后,我院医护人员立即为他进行了详细的查体:左下肢行走时暂未见明显跛行步态,左大腿、小腿肌肉也未见明显萎缩,双侧髋部外观尚对称。双髋部无明显叩痛,局部深压痛、内收肌止点压痛均为阴性,髋关节自主屈曲、外展、内收、外旋活动良好,左髋“4”字试验呈可疑阳性。双髋部皮肤无皮肤淤紫及破溃,下肢血运、感觉良好,膝踝关节自主活动良好,患者可自主完成髋关节、膝关节、踝关节屈伸动作及屈髋下蹲、穿鞋袜及下楼梯动作。

切取的左侧腓骨
全面且详细的检查结果,完整的说明了患者尚在股骨头坏死早期,手二区何明飞主任团队决定为其实施“保髋”治疗,通过清除坏死骨质、植入自体髂骨联合PRP(富血小板血浆)及带血管蒂的腓骨瓣移植,重建股骨头血运,最大程度保留髋关节功能。
术后,患者恢复顺利,术后1周卧床休养,10天后可逐步扶拐下地活动,2周拆线后即可出院。未来通过定期复查(6周、3个月、6个月等),预计6-9个月后可逐渐脱拐行走,实现功能康复。

这一术式不仅能修复受损骨结构,更通过显微外科血管吻合技术重建股骨头血运,有效避免病情恶化,帮助患者保留自身髋关节功能,减少长期卧床与关节置换的风险。
保髋与置换双轨并行,全周期守护髋部健康
对于股骨头坏死的治疗,顺德和平外科医院坚持“阶梯化、个性化”原则。针对早期患者,通过微创保髋技术最大限度保留髋关节功能,减轻疼痛,恢复运动能力;对于晚期患者,则依托成熟的关节置换技术,以先进的人工关节材料与精准手术操作,重建关节稳定性与活动度。




发表评论