在追求美的道路上,每一个细节都至关重要。对于31岁的90后女性张女士(化名)来说,拇外翻就是她心中难以言说的痛。
由于拇趾向外过度倾斜,原本正常的足部形态发生改变,不仅影响了脚部美观,更在日常生活中带来诸多不便。而因长期穿着不合脚的鞋子,更是进一步加重了病情,拇外翻部位被挤压得红肿、疼痛,非常影响日常活动、行走,进而也让她萌生了前往医院治疗的想法。


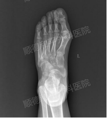
入院当天摄,可见拇外翻在向第二趾叠合发展
入院后,经骨四区程忠勇主任及傅志均主治医师仔细查体和询问病情,及摄片检查后,张女士确诊为:左足第1趾中度外翻并收住院。
所幸摄片时发现关节面对合关系尚可,所及诸骨骨质结构完整,骨纹理连续,未见明确骨折或骨质破坏,各关节在位,关节间隙清晰。仅需行左足拇外翻微创截骨矫形内固定即可。


手术过程中,先测量、纠正拇外翻的角度(外翻角约33°),于大脚趾外侧做一个小小的切口,从第1跖骨底部做一个“三角形”截骨,调整“长歪”的第1跖骨的角度和长度,再用螺钉最终将第1跖骨和跖骨头“固定”在一起,以保证手术矫正的效果。
这属于小切口微创治疗手术,在骨四区团队的紧密协作下,整个手术过程严谨而有序,约1小时既已顺利完成。患者术后第二天就能在特殊护具的加持下,下床行走,完全可以简单自理。


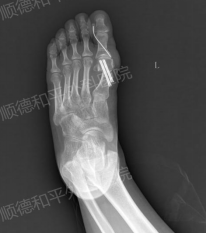
术后当天
术后第5天患者既已康复出院,经过术前的手术方案精心设计,以及术中、术后的用心治疗,患者恢复良好,对外形也很是满意,有效阻止了拇外翻的进一步发展。
拇外翻必须手术吗?
当患者接受了非手术治疗之后,仍然主诉持续足部疼痛,并且影响生活和功能时,或发生足趾骑跨时,可以考虑手术重建治疗。




早期患者无明显的不适,仅外观的改变,随着年龄的增长及体重的增加。逐渐出现足部的肌肉韧带的松弛关节承受过重的压力,长期以往导致足部疲劳弓的塌陷,踇趾的外翻畸形,及关节炎等并发症,影响正常穿鞋行走。
对于一些轻度的畸形,远端软组织的松解或者远端的截骨就足够了;对于重度的畸形,手术常常涉及第一跖骨跖骨干的截骨,并结合远端软组织的松解;对于重度的拇外翻,需要跖骨近端的截骨或者跖楔关节的融合。


术后第五天,即可康复出院
及时就诊,采取正确的之间方法,可以减轻症状,恢复足部功能,提高生活质量。
近年来,顺德和平外科医院骨科四区(足踝外科)以医院高质量发展为契机,开展了多项足踝外科专项疾病的技术治疗,力求突破,勇于创新,不断运用前沿的微创技术为全市广大患者提供更优质的医疗服务。



发表评论